
PH-83
3Dマンモグラフィにも対応した可変する乳房ファントム
特長
解剖/腫瘍
実際のスキャナーを使用した乳房圧迫の実習トレーニングができます。適切なポジショニングと圧迫が行われているか、確認ができます。
3Dマンモグラフィにも対応した可変する乳房ファントム
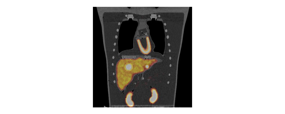
PH-63
核医学装置におけるがん/肝臓/肺/腎臓/体幹部への核種集積、吸収補正としての評価核医学とCTのFusion評価に
特長
肝臓内に直径37, 28, 22, 17, 13, 10mmの
HOT球体(NEMA規格に準拠)の設置が可能に
PH-75C
AAPM TG299ファントム。試料ロッドを等間隔に配置しています
特長
※画像はTR-Jのものです。2本の金属棒が映っていますが、付属するのは1本のみです。
線質依存性水等価材AquaSlubとは
幅広いオプションロッド
※ニーズに合わせてカスタマイズ可能です
ロッドラインナップリスト
ファントムは、解剖学的構造を含む、複雑で詳細な形状で作成できます。
ヨウ素濃度はご要望に応じてカスタマイズ可能です。お問い合わせください!
PH-82
心臓動態ファントムのプラットフォーム 評価・研究・トレーニングなど目的に沿った撮影ができます
特長